Appareil urinaire
Les maladies de l'appareil urinaire sont fréquentes chez les rongeurs et lagomorphe. Leurs particularités anatomiques et biologiques doivent être connues afin de proposer une prise en charge médicale adaptée, différente de celle des carnivores domestiques. L'appareil urinaire est constitué du rein, relié à la vessie par les uretères. Les urines sont ensuite évacuées de la vessie par l'urètre.
Les causes principales
Le bas appareil urinaire : vessie et urètre
- Les cystites ou inflammation de la vessie surviennent très fréquemment suite à la présence de cristaux ou calculs chez le lapin et le cobaye, dans une moindre mesure lors d'une infection bactérienne ou d'une tumeur vésicale. En effet, ces animaux ont une faible capacité de régulation du taux de calcium : un régime riche en calcium amènera donc à des précipitations minérales dans la vessie. Ce phénomène est appelé "sablose vésicale". Les alimentations à base de foin de luzerne et notamment les granulés (qui en sont souvent constitués) distribués en grande quantité sont un facteur favorisant, tout comme le surpoids. Les calculs urinaires ou urolithiases peuvent se former à tous les niveaux de l'appareil.
- Les calculs peuvent ainsi provoquer une obstruction urétrale chez le mâle. L'animal devient incapable d'uriner, ce qui constitue une urgence médicale. Il est conseillé de consulter rapidement un vétérinaire.
- Chez le lapin mâle âgé, des cas d'incontinences urinaires sont dus à l'engagement de la vessie dans l'anneau inguinal qui demeure ouvert toute la vie de l'animal.
Le haut appareil urinaire : reins et uretères
- Le rein des rongeurs et lagomorphes peut présenter un état d'insuffisance comme chez les carnivores domestique. Si les causes d'insuffisance rénale sont mal connues, elles peuvent être bactériennes suite à des abcès rénaux ou des pyélonéphrites, parasitaires, congénitales, toxiques, tumorales ou kystiques. Une cause fréquente chez le lapin est l'infestation par le parasite Encephalitozoon Cuniculi, aussi responsable de crises de torticolis. Les maladies rénales sont favorisées par une alimentation trop riche en calcium ou vitamine D, en phosphore ou en protéine. Des calculs rénaux peuvent être présents et altérer le bon fonctionnement du rein. Les calculs rénaux ne sont cependant pas toujours liés à l'alimentation, et c'est parfois le rein défaillant qui est la cause de leur formation (chez le lapin). Si ces derniers sont présents dans l'uretère ou le bassinet rénal, des lésions irréversibles du rein sont possibles.
Signes cliniques
- Dans le cas des maladies du bas de l'appareil urinaire, les signes sont souvent une hématurie (présence de sang dans les urines), une douleur à la miction (strangurie) qui peut se manifester par des cris lorsque l'animal urine, de pollakiurie (multiples mictions) avec une difficulté à uriner et souvent de petites quantité d'urine (dysurie). Une perte d'appétit peut être rapportée. Dans le cas d'une obtruction, l'animal est incapable d'uriner et une vessie distendue et dure peut être palpée lors de l'examen clinique; on parle de globe vésical.
- Les maladies rénales provoquent généralement une multiplication des mictions mais avec de grandes quantité d'urine, associée à une augmentation de la prise de boisson (polyuro-polydypsie). On peut observer un animal abattu, déshydraté, amaigrit et présentant une fonte musculaire.
Diagnostic
- L'ECBU (examen cytobactériologique urinaire) sur un prélèvement d'urine réalisé par cystocentèse permet de mettre en évidence la présence de bactéries dans les urines et la réalisation d'un antibiogramme pour mettre en place une antbiothérapie ciblée. L'examen des urines au microscope permet l'observation d'éventuels cristaux. L'urine peut aussi être prélevée directement dans le bassinet rénal avec l'aide de l'échographe (pyélocentèse).
- L'examen biochimique permet la mesure de l'urée et de la créatinine dont l'augmentation est le signe d'une insuffisance rénale. La numération des cellules sanguines permet de savoir si la maladie rénale se complique d'une anémie. Le ionogramme permet de mesurer la concentration en phosphore, en calcium qui permettent de contrôler l'évolution d'une maladie rénale sous traitement. Il permet également de diagnostiquer une hyperkaliémie lors d'obstruction urétrale, qui est mortelle.
- La radiographie permet l'observation de calculs urinaires et de sablose vésicale car les cristaux et calculs formés de calcium sont très visibles à la radiographie.
Radiographie montrant une sablose vésicale chez une lapine (1)
- Une échographie permettra de situer plus précisément une minéralisation et d'évaluer les conséquences sur la structure du rein et sur l'uretère lorsque le calcul y est logé. De même, elle permet d'apprécier l'épaisseur de la paroi vésicale et si elle présente une structure anormale (dans le cas de tumeurs, de polypes, ou de cytites très inflammatoires). Un prélèvement de cellules de la paroi vésicale est possible à l'aide d'une sonde urinaire grâce à la visualisation échographique pour analyse cytologique.
- Le profil urodynamique permet d'évaluer le fonctionnement de la vessie, de l'urètre et de l'appareil sphynctérien. C'est cet examen qui permet d'évaluer les possibles complications suite à une obstruction urétrale.
Echographie montrant une sablose vésicale sans calcul visualisé (1)
Traitement
L'obstruction urétrale
- Lorsque votre animal se trouve dans l'incapacité d'uriner, il s'agit d'une urgence. Il est indispensable de consulter rapidement un vétérinaire, sous peine de lésions rénales irréversibles et d'un pronostic sombre. Le traitement principal consiste en la levée de l'obstacle, c'est à dire le sondage urinaire pour repousser le calcul dans la vessie. Celle-ci est ensuite rincée au sérum physiologique. L'animal est perfusé pour forcer le fonctionnement du rein. Un antibiotique est prescrit lorsque les urines contiennent des bactéries. Une alimentation pauvre en calcium sera par la suite mise en place.
Insuffisance rénale
- Le but du traitement est de retarder l'évolution de la maladie et le phénomène de fibrose du rein. Le fonctionnement du rein est favorisé par l'apport d'eau allégée en minéraux et par la perfusion lors de crises d'urémie. Lorsque la cause de la maladie rénale est bactérienne, un antibiotique est mis en place. Une alimentation adaptée pour insuffisant rénal sera également prescrite sur le long terme.
Traitement chirurgical
- Un traitement chirurgical peut être nécessaire dans plusieurs situations, en particulier lors de la présence d'un calcul de taille importante ou de certaines masses affectant le bon fonctionnement d'un organe. En effet, lors d'obstruction urétrale à répétition chez un mâle, de lésions de l'urètre, de calcul de taille importante dans l'urètre ne pouvant être éliminé par sondage urinaire, ou lors de tumeur urétrale, une amputation du pénis peut être nécessaire (urétrostomie). La présence d'un calcul de taille importante ou d'un polype dans la vessie nécessite d'ouvrir celle-ci pour éliminer la cause de la cystite; on parle alors de cystotomie. Dans le cas d'un calcul rénal, une néphrotomie consiste à ouvrir le rein pour prélever le calcul. L'ablation du rein (néphrectomie) est envisagée si celui-ci est non fonctionnel suite aux lésions.
Complications
- Les maladies du système urinaire, par la douleur abdominale qu'elles provoquent peuvent causer une anorexie et des arrêts de transit.
- Lors de maladies du bas appareil urinaire suite à des cristaux, des calcifications sont possibles dans tous les organes, avec des conséquences selon l'organe concerné. En particulier, cela peut causer une insuffisance rénale. Suite à une maladie obstructive de l'urètre, une distension excessive et prolongée de la vessie provoque une atonie vésicale, celle-ci n'étant plus capable de se contracter. L'animal devient incontinent.
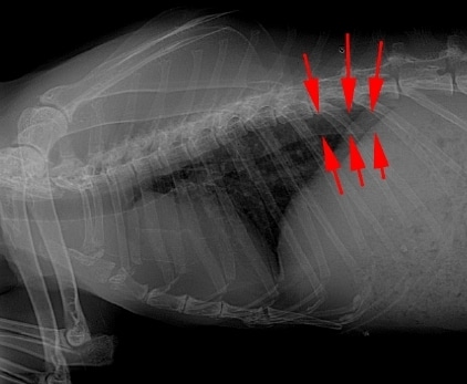
- Lors de maladies rénales, des ulcérations gastro-intestinales sont possibles, ainsi qu'une stase digestive suite à la déshydratation. Une anémie peut venir compliquer la maladie rénale avec un pronostic sombre. Chez le lapin, l'hypercalcémie liée à l'insuffisance rénale peut aboutir à la formation de calcifications à différentes localisations comme l'aorte, pouvant favoriser l'apparition d'une maladie cardiaque.
Calcification aortique visualisée à la radiographie (1)







